
失った歯をなるべく元の自然な感じで
回復したいという方へ
インプラント治療というと、特別な治療のように感じられる方もいらっしゃるかもしれません。 確かにかつては珍しい治療だったかもしれませんが、最近ではごく一般的な治療になりつつあります。
歯を失った後の治療法にはいくつか選択肢がありますが、インプラント治療はその中でも、 特に噛み心地や見た目などの点において、最も自然な状態に近づけられる治療法です。
(※インプラント治療は保険適用外の自由診療となります。)
インプラントは
こんな方にオススメです
-
01
なんでもしっかり噛める歯が
欲しい -
02
周囲の歯に負担をかけずに
治したい -
03
自然な見た目にしたい
-
04
長持ちする治療法がいい
-
05
違和感のない
快適な装置がいい -
06
お口全体の健康を保てる
治療法がいい
当院のインプラントの特徴
-
01
世界基準の技術
ワシントン大学にて客員教授、ペンシルバニア大学・ジョージア医科大学にて臨床助教を務める イナーキガンボレナ氏から直接指導を受けた、世界レベルのインプラント技術をご提供しております。 難症例にも対応可能な高度な技術力があります。
-
02
幅広い症状に対応
審美的なインプラントはもちろん、交通事故などで骨ごと歯を失ってしまった場合などに応じた 大掛かりな骨移植など、幅広い症状に対応できます。他院で断られた方もぜひご相談ください。
-
03
長持ちさせるための取り組み
インプラントが駄目になってしまう最大の原因は「歯周病」です。 当院では、インプラントの敵である歯周病を予防するために、一時的な処置ではなく 根本的な解決を目指した様々な施術をご用意しております。
-
04
診査診断(マシン)と
クオリティの一定化精密機器×技術力を持つ技工所との連携
精密機器と高い技術力を持つ技工所との密な連携により、全ドクターのインプラントクオリティ一定化を可能にしております。
最新鋭の精密機器 歯科用CTによる正確かつ精密な把握
従来のレントゲンと異なり、患者様の骨の形状や、神経や血管の位置などインプラント施術に不可欠な様々な情報を、立体的に精密把握することができます。
シミュレーションソフトによる事前予測の徹底
歯科用CTにて得られた情報をシミュレーションソフトに取り込み、実際にインプラント埋入をどのように行うかを、コンピューター上でシミュレーションします。人為的ミスを可能な限り排除します。

他の治療
「入れ歯」「ブリッジ」との違い
インプラントは、顎の骨に人工歯根を埋め込むため、自分の歯のようにしっかりと噛むことができます。 他の治療法と比較して、どのような違いがあるのか見てみましょう。
| 比較項目 | インプラント | 入れ歯 | ブリッジ |
|---|---|---|---|
| 固定方式 | 固定式 | 取り外し式 | 固定式 |
| 違和感 | ほぼない | 大きい | 少ない |
| 首位の歯への影響 | ほぼない | 大きい負担がかかる | 大きな負担がかかる(削る必要あり) |
| 噛み心地(天然歯との比較) | 8〜9割程度 | 3割程度 | 6割程度 |
| 見た目の良さ | 良い(自然) | 金具が見えることがある | 保険だと問題が出ることがある |
| 耐久性 | 10年以上が9割 | 5〜6年 | 5〜6年 |
| 治療期間 | 4ヶ月〜 | 1〜2ヶ月程度 | 1〜2ヶ月程度 |
| 手術の有無 | 有 | 無 | 無 |
当院のインプラント治療
5つのポイント
お口全体の
バランスを考えた
「フルマウスリコンストラクション」
ワシントン大学にて客員教授、ペンシルバニア大学・ジョージア医科大学にて臨床助教を務める イナーキガンボレナ氏から直接指導を受けた、世界レベルのインプラント技術をご提供しております。 難症例にも対応可能な高度な技術力があります。

徹底した感染対策
外科手術を伴うインプラント治療において、感染対策は命です。当院では世界最高水準の滅菌器を導入し、徹底的な衛生管理を行っています。

CT撮影装置を完備し、
精密な診断を実施
インプラント治療を行う際に、もはやCTスキャンは欠かせません。当院では歯科用CTスキャンを完備し、口腔内の状況を正確に把握した手術を行える環境を整えています。骨の厚みや神経の位置を3次元で確認することで、より安全で確実な治療計画を立案します。

静脈内鎮静麻酔で
リラックスした手術
ご希望の方にはインプラントの手術の際に静脈内鎮静麻酔を行なっています。麻酔科医立ち会いのもと、眠っているような感覚で、リラックスして治療を受けることができます。

成功率を高める光機能化
インプラント技術
埋入するインプラントに特殊な光線を照射することで、歯周組織や血液などがすばやく密着しやすくなり、埋入したインプラントの結合を早める新しい技術を取り入れています。
インプラント治療の症例
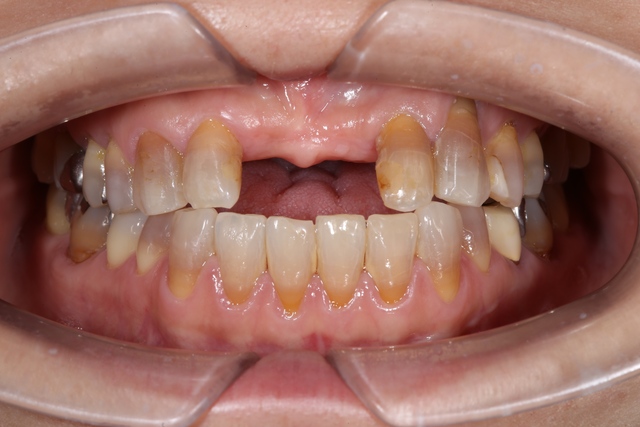
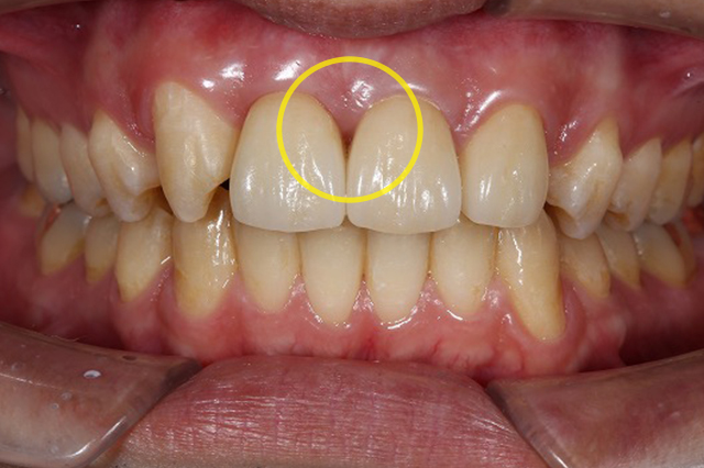
前歯部の審美インプラントによるリカバリー
| 主訴・お悩み | 「前歯の差し歯が取れてしまい、見た目が悪くて人前に出られない。しっかりと噛めるようになりたいが、入れ歯は避けたい」とのことで来院されました。 |
|---|---|
| 治療方針 | 残存歯根の状態が悪く保存不可能だったため、抜歯即時インプラント埋入を行いました。 審美性が重要な前歯部であるため、歯肉の形態も整えながら、天然歯と見分けがつかないセラミッククラウンを装着しました。 |
| 治療費用 | 約55万円(税込) |
※治療結果には個人差があります。副作用・リスク:疼痛・腫脹・出血・感染など
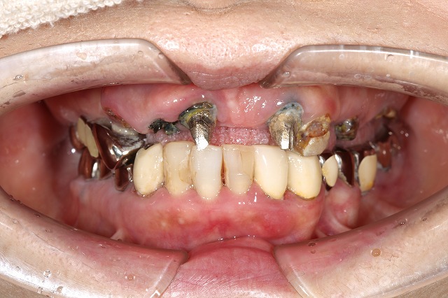
多数歯欠損に対するインプラントオーバーデンチャー
| 主訴・お悩み | 「総入れ歯が合わず、食事のたびに痛くて動いてしまう。もっとしっかり噛んで食事を楽しみたい」という切実なお悩みでした。 |
|---|---|
| 治療方針 | 全ての歯をインプラントにするには骨量が不足しており、費用面も考慮して「インプラントオーバーデンチャー」を選択。 下顎に2本のインプラントを埋入し、それを固定源とする入れ歯を作製しました。 |
| 治療費用 | 約120万円(税込) |
※治療結果には個人差があります。副作用・リスク:疼痛・腫脹・出血・感染など
歯根破折による抜歯後の即時埋入インプラント
| 主訴・お悩み | 「奥歯が急に痛くなり、他院で抜歯が必要と言われた。抜いた後どうなるか不安で、できるだけ早く噛めるようになりたい」と来院。 |
|---|---|
| 治療方針 | 垂直性歯根破折と診断。抜歯と同時にインプラントを埋入する「抜歯即時埋入法」を採用しました。 これにより治療期間を大幅に短縮し、骨の吸収も最小限に抑えることができました。 |
| 治療費用 | 約55万円(税込) |
※治療結果には個人差があります。副作用・リスク:疼痛・腫脹・出血・感染など
インプラント治療の流れ
-
STEP 01
カウンセリング・CT検査
患者様のお悩みやご希望を詳しくお伺いします。その後、歯科用CTやレントゲン撮影、口腔内写真撮影などを行い、お口の状態を精密に検査します。
-
STEP 02
治療計画の立案・ご説明
検査結果に基づき、最適な治療計画を立案します。インプラントの本数、種類、費用、期間などを分かりやすくご説明し、同意をいただいた上で治療を開始します。
-
STEP 03
インプラント埋入手術(一次手術)
局所麻酔または静脈内鎮静法下で、顎の骨にインプラント(人工歯根)を埋入します。手術時間は本数によりますが、通常1〜2時間程度です。
-
STEP 04
治癒期間(オッセオインテグレーション)
インプラントと骨が結合するのを待ちます。期間は個人差や部位によりますが、通常2〜6ヶ月程度です。この間は仮歯を使用する場合もあります。
-
STEP 05
アバットメント装着・型取り(二次手術)
インプラントと骨が結合したら、人工歯を装着するための土台(アバットメント)を取り付けます。その後、精密な型取りを行います。
-
STEP 06
人工歯の装着
作製した人工歯(セラミッククラウンなど)を装着し、噛み合わせを調整します。見た目も機能も天然歯のように回復します。
-
STEP 07
メインテナンス
インプラントを長持ちさせるためには、定期的なメインテナンスが不可欠です。3カ月以内に来院いただき、クリーニングや噛み合わせのチェックを行います。
よくある質問
- Q. インプラント手術は痛いですか?
- A. 手術中は局所麻酔を十分に効かせますので、痛みを感じることはほとんどありません。ご不安な方には「静脈内鎮静法」も併用し、眠っているような状態でリラックスして手術を受けていただけます。術後は多少の腫れや痛みが出ることがありますが、処方する痛み止めでコントロールできる範囲内です。
- Q. 治療期間はどのくらいかかりますか?
- A. 骨の状態や埋入本数、治療法によって異なりますが、一般的には4ヶ月〜1年程度です。骨造成が必要な場合などは期間が長くなる傾向があります。初診時のカウンセリングで目安の期間をお伝えします。
- Q. インプラントはどのくらい持ちますか?
- A. 適切なメインテナンスを継続すれば、10年以上機能する確率は90%以上と言われています。中には20年、30年と使い続けている患者様もいらっしゃいます。長持ちさせるためには、毎日のセルフケアと歯科医院での定期検診が非常に重要です。
- Q. インプラントができない人はいますか?
- A. 重度の全身疾患(心疾患、糖尿病など)がある方、妊娠中の方、顎の骨が極端に少ない方などは、治療が難しい場合があります。ただし、骨造成などで対応できるケースも多いため、まずは一度ご相談ください。
- Q. 費用はいくらかかりますか?
- A. インプラント治療は保険適用外(自由診療)となります。当院では1本あたり約40万円〜(手術費・被せ物代含む)を目安としておりますが、骨造成の有無や被せ物の種類によって変動します。お見積もりは事前に明確にご提示いたします。
