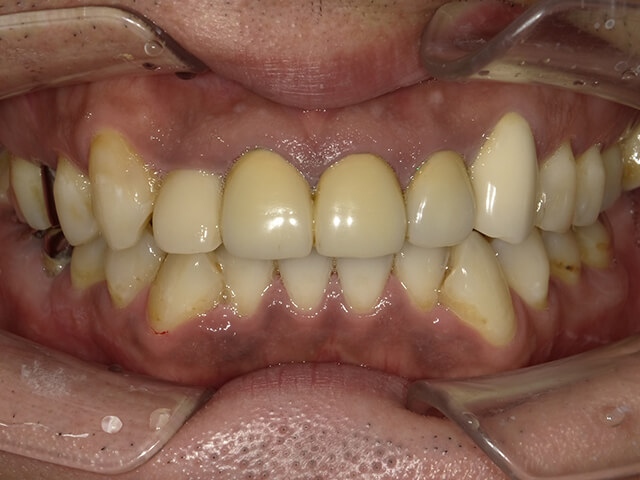
症例集
当院で行った治療の実績をご紹介します。
ご予約はこちらから
TEL.06-6342-4618
受付時間09:30-13:00 / 14:30-18:30
(定休日:木曜・日曜・祝日※最終受付は18時まで)
